..
| NEW ADDITIONS AND QUERIES ON: |
|
Images of Collotheca and Sinantherina from this domain have recently been published in the text book
"Integrative Animal Biology" (Figs. 3.27 C and D). Ruediger Rudolf, July 10th, 2013 |
|
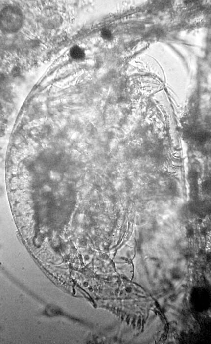
New images of Peracantha truncata added. Ruediger Rudolf, Oct 07th, 2008 |
|
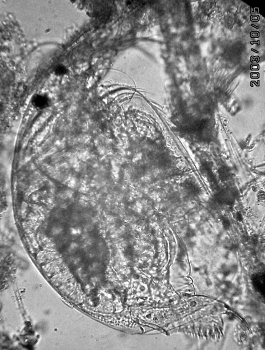
New images of Polyphemus pediculus and of Sida crystallina added. Ruediger Rudolf, Oct 06th, 2008 |
|
New images and videos of a number of interesting protozoa from a muddy channel of Northern Italy have now been added in the section of rhizopods (see amoeba and testacea). Have a look and help me, if you are able to better identify the shown species. More pictures taken from the same sample of ciliates, suctoria, rotifers etc. will follow soon. Ruediger Rudolf, April 27th, 2007 |
|
The formatting of the sections "Cladocera" (and its Taxonomy + Images part), "Rotifera"
(and its Taxonomy + Images part) is now completed. Please note, that especially the headers containing the links
have been simplified and harmonized. Please, let me know your opinion about the lay-out! Ruediger Rudolf, October 8th, 2004 |
The following image from this domain of Oikopleura dioica
has been used in a "News and Views" article in NATURE [Patel NH (2004): Time, space and genomes. Nature
431: 28-29]. To see the
corresponding "News and Views" content,
click on the link in green. Please
WRITE ME
for further questions on this behalf.Ruediger Rudolf, September 2nd, 2004 |
|
The domain www.cladocera.de is currently changing its layout! However, the content remains largely unaltered.
The new format is meant to improve readability and clarity. The "News" site from now on reports the most
recent updates of data and highlights questions posed by guests of the site. I hope, that the changes find your
appreciation and I am looking forward to your responses. Ruediger Rudolf, September 1st, 2004 |
|
Ruediger Rudolf seeks
HELP
in species' determination of presumably a phytomonad such as Pandorina. image 1, image 2, image 3, image 4 topic arrived August 1st, 2004 |
|
Ulrich Schulte-Vieting has photographed limnic animals from a lake in Java and
seeks
HELP
in species' determination. ostracods: image 1, image 2, image 3, image 4 cladocera: image 1, image 2, image 3, image 4, image 5 and copepods: image 1, image 2, image 3, image 4 topic arrived March 30th, 2004 |
|
Javier Martinez-Abaigar is interested in the determination of
EPIZOIC CILIATES topic arrived Oct 21st, 2003 see also comment |
This page last updated July 10, 2013